logo Image

BLEACHING

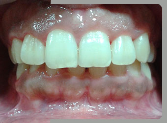
BLEACHING

Who does not want a bright, white, radiant smile that lightens up the whole face? Tooth whitening/ Bleaching is a procedure that whitens teeth and helps to remove stains and discoloration. It is tough on stains but gentle on teeth, one of the most popular cosmetic dental procedures because it can significantly improve the appearance of your teeth. Regardless of how well you take care of your teeth, coffee, tea, soft drinks and age can leave behind unsightly stains and it may be a source of great embarrassment to many, preventing you to smile confidently. Today you no longer need to accept this aesthetic barrier. You can opt for a highly successful treatment to whiten your teeth. At DR DANG’S DENTAL EXCELLENCE, we offer the most popular methods of whitening teeth, so you can regain your gleaming white smile.

LASER BLEACHING: A revolutionary advanced tooth whitening procedure. - It is fast & convenient, long lasting, no sensitivity, proven to be safe and effective performed by FOTONA
SOFT TISSUE LASER. It gives almost 6-8 shades whiter teeth in less than an hour.
HOME BLEACHING: It involves use of bleaching agent of varying percentages like 10%, 15%, 20 % in specially fabricated trays (Gum Shields) that are to be worn over the teeth for 3-7 days. It is advisable that you visit your dentist after 2-3 days so that progress of teeth whitening can be evaluated and appropriate recommendations on further use can be given. It gives 2-3 shades whiter in 3-5days.



THE LEADING CENTRE FOR LASER, IMPLANTS AND COSMETIC
DENTISTRY IN CHANDIGARH

Have Dental Problem
Call us at +91 9216060837 & Make an Appointment