logo Image

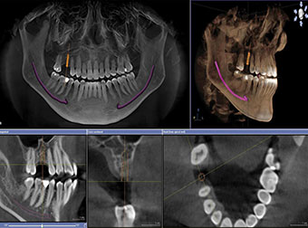
CBCT/OPG

IN-HOUSE CBCT & OPG

CBCT (cone-beam computed tomography) scan is a type of medical imaging technique that produces precise 3D images of the bones and soft tissues in the maxillofacial region.
CBCT scan can give a detailed picture (2D sections and 3D structures) of teeth, jaws, TMJ, airways, sinuses, nasal cavity, orbits, and other surrounding anatomical structures of the head and neck region.
There are many benefits to getting a CBCT scan:
Better image quality and accuracy
Provides comprehensive information about your oral health
Comfortable and quick experience
A lower dose of radiation

It is used as part of the planning step for your dental treatment. By having a CBCT scan, your dentist will be able to have much-needed detailed information about your oral situation. This information can include images of:
Bone loss
Tooth Decay
Nerves
Soft Tissues
Facial Fractures or Abnormal Growths
Infections
Tooth Root Issues
Signs of TMJ or other problems
Other Irregularities
It is mandatory to do a CBCT before implant placement, as it is the most reliable way to do a 3D planning.
An orthopantomogram or an OPG, is a specialised or widescreen view of your lower face. It shows all your upper and lower teeth, as well as your jaws and jaw joints.

ADVANTAGES OF DIGITAL OPG

  • Broad coverage of facial bones and teeth
  • Low patient radiation dose.
  • Convenience of examination for the patient. (Films need not be placed inside the mouth)
  • Ability to be used in patients who cannot open the mouth or in patients whose mouth opening is restricted
  • Patients ready understandability, making them a useful visual aid in patient education and case presentation
  • Short time required for making the image.


THE LEADING CENTRE FOR LASER, IMPLANTS AND COSMETIC
DENTISTRY IN CHANDIGARH

Have Dental Problem
Call us at +91 9216060837 & Make an Appointment