logo Image

GUM DISEASES

Periodontics

Periodontics is the branch of the dentistry that involves the prevention, diagnosis and treatment of conditions of the surrounding structures of the teeth which includes the gums and the bone, and the maintenance of the health, function and aesthetic of these structures.
Did you know 90% of the human population suffers from gum disease in their oral cavity?
Did you know that gum disease, if left untreated can lead to heart attack?
Did you know, Gum disease is the major cause of tooth loss in adults?
Periodontal disease, commonly known as “gum disease,” occurs when bacteria infect the parts of the gums around the teeth, forming pockets and destroying tissue and bone if left untreated. Worse yet, the infections can lead to teeth loss, and have even been linked to more serious problems like cardiovascular disease, diabetes, and low birth-weight babies.
Fortunately, however, periodontal disease is preventable and controllable, and we offer advanced disease-control treatments and cosmetic gum procedures with the help of LASERS.
Brushing twice a day is not enough to remove plaque from in between the teeth. To get rid of plaque / calculus / stains it is mandatory for every individual to go for a professional cleaning / scaling and polishing of teeth at least once in six months.
10 warning signs of gum diseases
1. Your gums bleed easily.
2. Your gums are very red, tender and / or swollen.
3. You can see pus in between your teeth and gums when they are pressed.
4. Your gums seem to be pulling away from your teeth and have receded from their normal position, exposing the roots of your teeth.
5. Your teeth have become mobile.
6. You have chronic bad breath or a bad taste in your mouth.
7. You notice a change in your bite or in the way your teeth fit together.
8. Your teeth are loose or they are separating.
9. The fit of your partial dentures have changed
10. Your pregnancy is associated with swollen red puffy bleeding gums.
If any one or more of the warning signs is present in your mouth you for sure are having gum disease, and with every clicking second you heading towards the more advanced stage of periodontal disease.
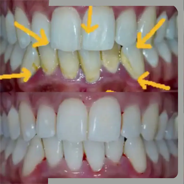
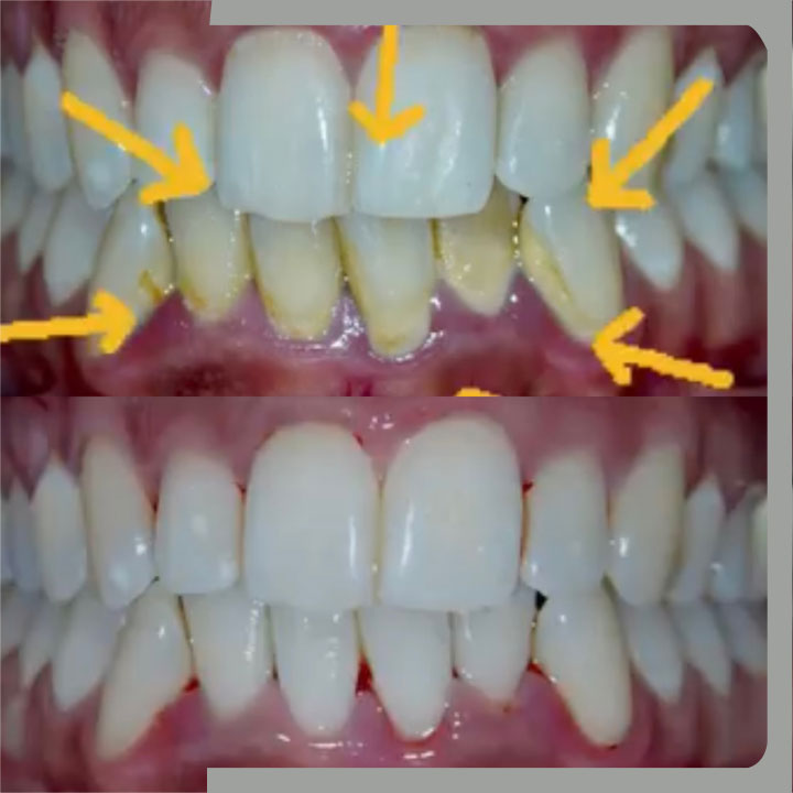
The calculus gets deposited between the gums and the teeth. If left untreated, it initially infects the gums (they may swell up / bleed / become spongy and loose). From here the infection spreads to the underlying bone (which supports the root of the teeth). The gums and underlying bone form the foundation of the teeth. Once the foundation gets infected (pockets are formed in gums, which, if not treated, lead to bone defects), it leads to mobility of teeth (pyorrhea). Once the mobility sets in, initially one can reverse the problem of mobile teeth/spongy bleeding lose gums by certain procedures like:
Laser periodontal therapy
Scaling of teeth: Supragingival / Subgingival
Curettage
Root Planning
Gingivectomy
Flap Surgery
Bone / Osseous Surgery etc.

LASER PERIODONTAL THERAPY
Laser dentistry has come up like a boon for the treatment of gum diseases like pyorrhea. Previously traditional gum surgery was performed which involved the use of local anesthesia injections, cutting the gums with scalpels and blades, cleaning the infected gums, and suturing it back in place. This involved lot of bleeding, pain and discomfort to the patient. A periodontal pack is given over the area where surgery was performed for next 7 days, and removal of sutures done after 7 days. This made surgery a traumatizing experience for the patient.
However with laser periodontal therapy, a beam of lasers goes between teeth and gums and burns off the infections without any need of giving injections, no cuts, no sutures, no post operative discomfort.
PREGNANCY GINGIVITIS
Pregnancy gingivitis is a condition caused by increased hormone levels that can cause swollen, red and tender gums. It is often accompanied with bleeding when you brush your teeth. According to the American Academy of Periodontology, about 50% of women experience pregnancy gingivitis. This condition is most common between the second to eighth months of pregnancy. If you experience the symptoms of pregnancy gingivitis, be sure to visit your dentist to see if you need more frequent dental cleanings or other treatment. Laser periodontal therapy is totally safe in the pregnancy. There are no side effects of laser on the mother or her child

FREQUENTLY ASKED QUESTIONS IN LASER PERIODONTAL THERAPY (LPT):-

  • Q1. Is LASER PERIODONTAL THERAPY a painless procedure?
    Answer is yes. FDA has approved lasers as a non surgical approach to treat gum diseases. Lasers eliminates the need for the shots hence no pain even from the prick of the injections, forget about the pain from the procedure. It clogs the nerve endings therefore there is no pain during the procedure. There is no bleeding at the site of procedure as the lasers coagulate the blood vessels. There is no post operative swelling.
  • Q2. How effective is LASER PERIODONTAL THERAPY?
    Answer: Laser emits concentrated energy in form of beam of light which burns the infected gum tissue, targeting only the infected area, thus making lasers a highly specific treatment modality. LPT is a 2 visit procedure in which in every sitting a full mouth professional cleaning called scaling is done followed by laser therapy and the gums become totally infections free. Studies show that 98% of patients who underwent LPT show no progress of disease in next 5 years if maintained properly, as compared to only 5% of patients who opted for traditional periodontal surgery.
  • Q3. Why should I opt for LPT over traditional gum surgery?
    1) LPT requires less time and fewer follow up visits as compared to traditional gum surgery as there is no cut in the gums given, hence no sutures given.
    2) LPT only targets the unhealthy infected tissue hence there is more preservation of the healthy gum tissue. However this is not seen in case of traditional gum therapy.
    3) LPT is a bloodless procedure and less invasive
    4) LPT is more sterilized as no incision is required, reduces the risk of infection.
    5) The gum tissue healing is very quick with LPT. Within less than 48 hours the results start showing. However with traditional gum therapy it takes around 3 weeks.
    6) LPT is a success in patients who cannot opt for traditional gum surgery because they are medically compromised like in diabetes, in high blood pressure or if a patient is on anti coagulants. With lasers there is no bleeding hence there is no fear of excessive blood loss and poor healing.
    7) Patients can get back to work almost immediately after the procedure as there is no post operative swelling or discomfort. This brings in a great value for the patients time and money
    8) There is no restriction in diet or brushing, no interruption of daily schedule, where as in case of traditional periodontal therapy a periodontal pack is given for 7 days, restricting diet and brushing in that area. Patients have to be extra cautious of the sutures given but with LPT life remains easy.
  • Q4. What all procedures can be performed with lasers?
    Answer: With soft tissue lasers many other gum procedures like gum de pigmentation, gum reshaping, crown lengthening, correcting the gummy smile, removal of fibroid gum growths can be performed. Last but not the least it is also used for bleaching (whitening of teeth).

    PREGNANCY GINGIVITIS
    What is Pregnancy Gingivitis?
    Pregnancy gingivitis is a condition caused by increased hormone levels that can cause swollen, red and tender gums. It is often accompanied with bleeding when you brush your teeth. According to the American Academy of Periodontology, about 50% of women experience pregnancy gingivitis. This condition is most common between the second to eighth months of pregnancy. If you experience the symptoms of pregnancy gingivitis, be sure to visit your dentist to see if you need more frequent dental cleanings or other treatment. Laser periodontal therapy is totally safe in the pregnancy. There are no side effects of laser on the mother or her child.


Treatments

THE LEADING CENTRE FOR LASER, IMPLANTS AND COSMETIC
DENTISTRY IN CHANDIGARH

Have Dental Problem
Call us at +91 9216060837 & Make an Appointment