logo Image

VENEERS

VENEERS

Does your smile make you conscious?
Does your “not so beautiful smile” keep you away from interacting with the world the way you want?
Do you hesitate in flashing your smile in front of the camera?
Is your bad smile hampering your confidence when you go for an interview?
If yes is the answer to any of the above questions, then you need an expert handling of your smile. When it comes to creating a healthy and beautiful smile, you deserve the experience and qualifications to assure sound results. Not just on esthetic beauty alone, but in the excellent structural quality of our work and our strong belief that cosmetic dentistry is an integral part of dental health and function.
Our areas of expertise include:
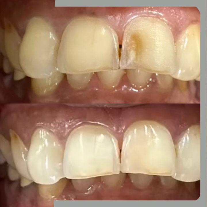
Are your front upper teeth severely discoloured, poorly shaped or slightly crooked?
Is there a large noticeable gap in between the upper front teeth?
You don’t want to go in for teeth whitening, yet want a brighter smile?
Are your front teeth chipped and worn out?
Veneers are a popular treatment option for these reasons.
Types of Veneers:
a. Ceramic Veneers (also called laminates)
b. Resin-Based Composite Veneers.
Ceramic Veneers: Ceramic veneers are extremely thin shells made of a strong and durable dental ceramic, giving the prosthesis a life like effect.
They are bonded onto the front of teeth to create a beautiful and attractive smile.
Veneers can completely reshape your teeth and smile. They can often be alternatives to crowns and the ideal solution in treating many dental conditions.
As with most dental restorations, veneers are not permanent and may someday need replacement. They are very durable and will last many years, giving you a beautiful long lasting smile.

Reasons for porcelain veneers:
Cosmetically, to create a uniform, white, beautiful smile.
Crooked teeth.
Misshapen teeth
Severely discolored or stained teeth
Teeth that are too small or large.
Unwanted or uneven spaces.
Worn or chipped teeth
Resin-Based Composite Veneers:
Resin-based composite veneers generally are placed in one appointment. After the tooth is prepared or reshaped, the participating dentist carefully bonds and sculpts the composite material in a colour that matches your other teeth. A special light is used to harden the composite. The veneer is smoothed and polished to look like a natural tooth.
COSMETIC CONTOURING AND RESHAPING OF TEETH
With our advancements in these areas, you no longer have to settle for stained, chipped, or malaligned teeth. You now have choices that can help you smile with confidence. Even the most subtle change in your smile can make a dramatic difference in the way you look and feel about yourself.



THE LEADING CENTRE FOR LASER, IMPLANTS AND COSMETIC
DENTISTRY IN CHANDIGARH

Have Dental Problem
Call us at +91 9216060837 & Make an Appointment